歯周病菌1Dayトリートメントの出現
心筋梗塞・脳梗塞に至る循環障害、肺炎・菌血症などの感染症、糖尿病や早産まで、歯周病菌は全身疾患に決定的に関与しているという発表が続いています。
口腔内細菌検査
口の中の菌の種類を確定し、モニターに映し出して患者さんと治療方針を相談する
血栓をつくり、脳梗塞や心筋梗塞を発症させる歯周病菌「ジンジバリス」
一方、歯周病菌の殺菌液が開発され、当院の「ピエゾ・システム」や顕微鏡を使ったメソッドと組合わせると、60分という短時間で原因の除去と病的状態が改善していきます。
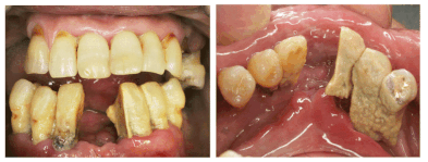
<進行した歯周病>
1945年生まれ 女性の前歯の表面と裏側
患者さん2本の歯にまとわりついていた病原性の歯石
患者さんの1本の歯牙周囲の6ヶ所の骨の崩壊や出血点などを記録したぺリオ・チャート(データ)
歯周病超悪玉菌によって歯の根っこの先端付近まで歯を支えている骨を失った病態レントゲン写真

他の機種の超音波振動を超える新次元の ピエゾサージェリーテクニックは、
① 歯肉などの軟組織にあたっても傷つかない安全機構を持つ
② 空気の泡が弾け飛ぶ作用で出血に妨げられず、深いところがはっきりと見える
③ 繊細な動きが可能で、骨の形の整形などは抜群の力を発揮
歯肉のポケットの深いところの病原菌の廓清処置には最適。がん治療にも重要な歯周病菌1dayトリートメントです。
癌(がん)の転移や再発を防止するためにも歯科検査に基づく家庭治療は大切です。ご自宅でもできる「ホームケア」指導もしています。
がんの再発や転移に関わる口腔内常在菌についての発表
脳血管が切れる脳出血とクモ膜下出血に作用する虫歯菌の研究発表
健康寿命を長くする1Dayトリートメント
口の中には人体の中でも優れた免疫組織の唾液腺がありますが、正常な咬み合せに戻してあげると筋肉が柔軟になったり、広範囲の運動領域を持つようになって、その周囲の耳下腺や顎下腺や舌下線が活性化され、唾液の分泌が高まり、抗菌力のUPや成長ホルモンの分泌、そして免疫力をUPさせ身を守ります。
さらに、健康寿命を短くする原因に歯周病原菌があります。
日本人の死因の上位である癌や心筋梗塞・脳梗塞・肺炎・糖尿病は、この歯周病原菌をはじめとする口腔内の常在菌が死に至るまでに深く関わっているのです。私たちの診療室ではこの常在菌感染をコントロールするプロケア(ワンデートリートメント)と歯ブラシなどのホームケア、このふたつの共同作業を大事にしています。
Y・S 様 (1922年生まれ) I・A 様 (1926年生まれ)
長年に渡る5つの Golden Apple の当院オリジナル治療に続く、ホームケアが行き届いているお2人の笑顔と肌ツヤは、お年を感じさせません。








